
Articular
Óseo
Muscular
Miembro del Colegio Michoacano de Ortopedia y Traumatología.
Certificación del Consejo Mexicano de Ortopedia Y Traumatología
Acerca de mí Mi trabajo de investigación se ha enfocado en soluciones innovadoras para los desafíos más complejos de la ortopedia reconstructiva:
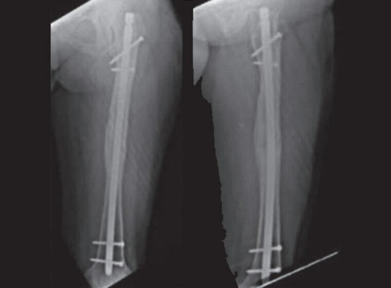
Ortobiológicos y aloinjertos en pseudoartrosis con pérdida ósea diafisaria femoral
Técnicas bioactivas utilizando esponjas de gelatina (Gelfoam®) como andamio para regeneración ósea
Reconstrucciones femorales post-resección tumoral con seguimiento a largo plazo
Protocolos efectivos para pseudoartrosis refractaria de húmero mediante injerto tricortical e instrumentalación especializada
Mis servicios
Preguntas frecuentes Utilizamos técnicas combinadas: injertos óseos (autólogos o aloinjertos), ortobiológicos (PRP, células madre) y fijación biomecánica avanzada. En casos complejos, aplicamos estimulación eléctrica o ultrasonido focalizado.
El PRP es ideal para tendinopatías crónicas o artrosis leve-moderada. La piel de tilapia se usa en quemaduras o heridas extensas por su capacidad regenerativa y antibacteriana. Cada caso se evalúa individualmente.
Diagnóstico con ecografía articular (antes de los 6 meses) o radiografía. Tratamiento con arnés de Pavlik en etapas tempranas; en casos avanzados, cirugía reconstructiva.
Amputación en trauma severo irreversible o infecciones graves (ej. gangrena). Las fasciotomías se realizan ante síndromes compartimentales (presión muscular peligrosa), comunes en accidentes o quemaduras.
Rehabilitación multidisciplinaria: fisioterapia para fortalecimiento, adaptación protésica personalizada y terapia ocupacional para reintegración funcional.




Artículos
Contacto
Dirección Morelia Michoacán
Dirección Centro Médico de Alta Especialidad Moroleón, Guanajuato